2023年分别来自连云港市第一人民医院骨科和南京医科大学解剖、组织与胚胎学系骨与干细胞研究中心的PengWang,CuicuiYang,JinhongLu,YongxinRen,DavidGoltzman,DengshunMiao(通讯作者,音译苗登顺)在JournalofOrthopaedicTranslation期刊发表了一篇论文,题目为:Sirt1protectsagainstintervertebraldiscdegenerationinducedby1,25-dihydroxyvitaminDinsufficiencyinmicebyinhibitingtheNF-κBinflammatorypathway。
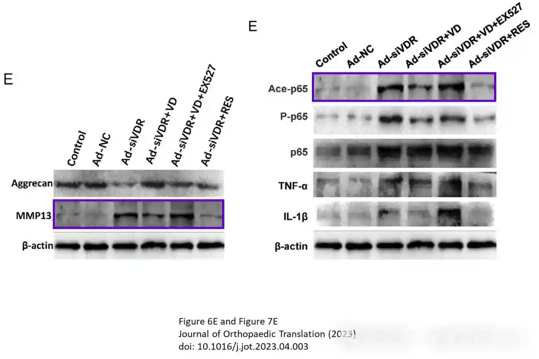
同样的凝胶切片似乎同时出现在图1J和图4B中,但描述不同。作者可以提供原始的未裁剪的扫描吗?
参见:

在图6E和图7E之间似乎也存在类似的问题。

该研究受到国家重点研发计划项目(2018YFA0800800)、国家自然科学基金项目(81730066)和加拿大卫生研究院项目(PJT-152963)资助。